Photo Gallery

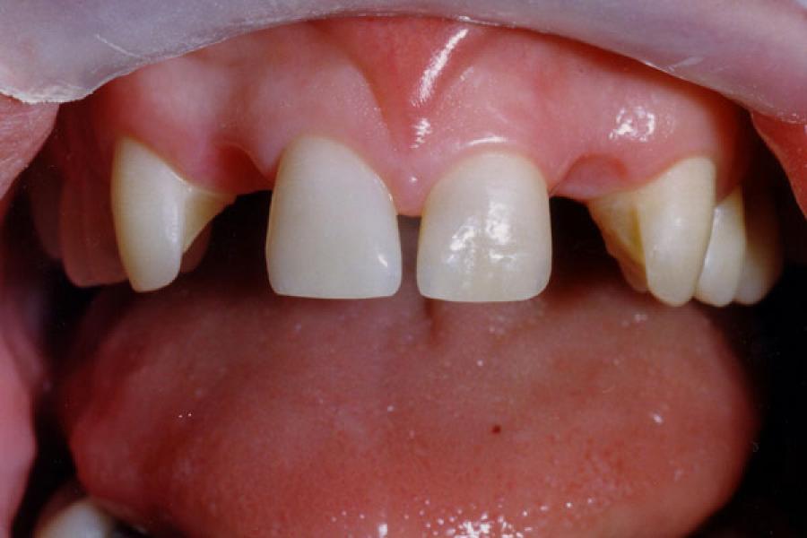
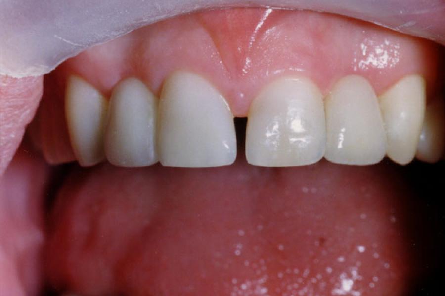
Crown and Bridges

I want to thank everyone at your office! My family and I have always been treated wonderfully by the doctors and staff. The doctors are very friendly, especially with those in the family who are nervous when visiting the dentist! I recommend your dental office whenever I get the chance!
– Grey G. – Spencer, IA –